Course Content
-
Sección 1: Bases físicas y planos de la ecocardiografia En esta unidad se describen las bases físicas de la ecocardiografía, así como las diferentes modalidades ecocardiográficas posibles. Introducir al alumno en los conocimientos básicos de ultrasonografía para interpretar las imágenes ecográficas, así como la utilidad del Doppler y Doppler color para la valoración de los flujos cardiaco. Se explican los 5 planos ecocardiograficos más frecuentes incorporados a la ecocardioscopia, su correlación con las estructuras anatómicas cardiacas y los movimientos básicos que realizamos con el transductor para obtener las imágenes de las estructuras que se buscan en cada plano.
- Principios básicos de los ultrasonidos
- Ecocardiógrafos y transductores (I)
- Ecocardiógrafos y transductores (II)
- Modalidades ecocardiográficas. Modo M. Modo 2D
- Efecto Doppler
- Doppler pulsado y Doppler continuo
- Flujo mitral con Doppler pulsado
- Doppler color
- Movimientos del transductor
- Introducción Planos ecocardiográficos
- Plano longitudinal paraesternal largo
- Plano paraesternal corto o transversal
- Plano apical o cuadro cámaras
- Plano subcostal
- Plano supraesternal
- Resumen planos ecocardiográficos
- Puntos claves de la unidad
- Bibliografia a revisar
- Evaluación Sección 1
-
Sección 2: Ecocardioscopia. Indicaciones Indicaciones y método sistemático de realización de Ecocardiografia. Se consolidan los conocimientos de los planos ecocardiográficos correlacionándolos con la anatomía cardiaca normal. Además, se establecen las indicaciones de la ecocardioscopia y los criterios de derivación a un Servicio de cardiología pediátrica de los casos electivos y de los casos urgentes
- Introducción. Definición Ecocardioscopia
- Recomendaciones ecógrafos y nivel de formación
- Revisión anatómica cardiaca normal. Descripción externa
- Revisión anatómica cardiaca normal. Descripción interna
- Método sistemático de la Ecocardiografia
- Correlación anatómica – Planos ecocardiografia (I)
- Correlación anatómica – Planos ecocardiografia (II)
- Correlación anatómica – Planos ecocardiografia (III)
- Indicaciones de Ecocardioscopia
- Criterios de derivación a Cardiología pediátrica
- Bibliografía a revisar
- Evaluación Sección 2
-
Sección 3: Neonatologia (I) Cambios de la circulación fetal. Valoración presión pulmonar. Ductus arterioso en prematuros y Valoración flujo en Vena cava superior. Se explican las diferentes formas de medición de la presión pulmonar con la ecocardiografía junto con la valoración del ductus arterioso permeable, en el recién nacido prematuro y a término. Además, se define el flujo de vena cava superior que es una medición indirecta del gasto cardiaco en el recién nacido
- Introducción: Circulación Fetal
- Cambios circulación fetal a neonatal: Circulación transicional
- Persistencia Circulación Fetal
- Valoración gradientes por Doppler y Doppler color (I)
- Valoración gradientes por Doppler y Doppler color (II)
- Valoración regurgitación por Doppler y Doppler color
- Valoración presión pulmonar por Ecocardiografia. Formas de medición (I)
- Valoración presión pulmonar por Ecocardiografía. Formas de medición (II)
- Valoración presión pulmonar por regurgitación tricuspídea
- Valoración presión pulmonar por regurgitación pulmonar
- Persistencia del Ductus arterioso
- Persistencia del Ductus arterioso. Descripción ecocardiográfica
- Repercusión hemodinámica de la Persistencia del Ductus arterioso
- Tratamiento y seguimiento ecocardiográfico de la Persistencia del Ductus arterioso
- Medición del flujo vena cava superior. Descripción (I)
- Medición del flujo Vena Cava Superior. Descripción (II)
- Identificación situaciones de flujo de VCS alterado
- Bibliografia a revisar
- Evaluación Sección 3
-
Sección 4: Neonatologia (II) e Intensivos pediátricos En esta unidad se describe la ecocardiografía funcional, término empleado para la valoración del estado hemodinámico del recién nacido o niño en las unidades de intensivos, neonatal o pediátrica. Se explican las diferentes formas de medición de la función cardiaca, tanto sistólica como diastólica. Además, se describe el reconocimiento y valoración del líquido pericárdico, posición de catéteres y defectos residuales en el postoperatorio cardiaco
- Ecocardiografia funcional: Definición
- Valoración función cardiaca izquierda. Función sistólica
- Valoración función cardiaca izquierda. Función diastólica
- Valoración función cardiaca derecha. TAPSE
- Valoración función cardiaca derecha. Presión pulmonar
- Valoración gasto cardiaco
- Conocimientos básicos Doppler tisular
- Valoración de estructuras no cardiológicas. Liquido pericárdico y pleural
- Valoración catéteres, masas, trombos y vegetaciones
- Ecografia torácica: Movilidad diafragmática
- Utilidad ecocardiografia de contraste
- Ecocardiografia en recién nacido con sospecha de cardiopatía cianosante
- Ecocardiografia en postoperatorio cardiaco
- Bibliografia a revisar
- Evaluación Sección 4
-
Evaluación Final del Curso ¡FELICIDADES! HAS FINALIZADO EL CURSO, REPASA TODAS LAS UNIDADES ANTES DE REALIZA EL TEST FINAL
Efecto Doppler
Efecto Doppler es el cambio de frecuencia aparente de una onda producida por el movimiento relativo de la fuente respecto a su observador.
El fenómeno Doppler fue descrito en 1842 por el científico austriaco Christian Doppler. Consiste en el cambio de frecuencia que se produce en un sonido cuando existe movimiento relativo entre la fuente emisora y el receptor. Esta diferencia de frecuencia se denomina frecuencia Doppler. En la ECO el cambio detectado por el transductor depende de la velocidad y dirección del flujo, del ángulo entre el haz de US y el flujo y de la velocidad de transmisión del sonido en los tejidos
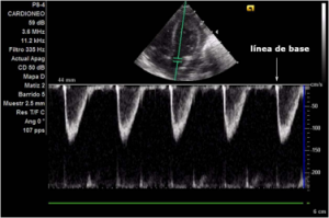
Para representar la señal Doppler, se usa una gráfica (ver figura) en la que las frecuencias Doppler o las velocidades se muestran en el eje vertical y el tiempo en el horizontal, mientras que la amplitud o potencia de cada componente del análisis se presenta en escala de grises

Si el flujo sanguíneo se acerca al transductor, se representa en la imagen por encima del eje horizontal (A); y si se aleja, por debajo del eje (B).

